Ultraschall –
Feindiagnostik in der 20. – 22. Schwangerschaftswoche

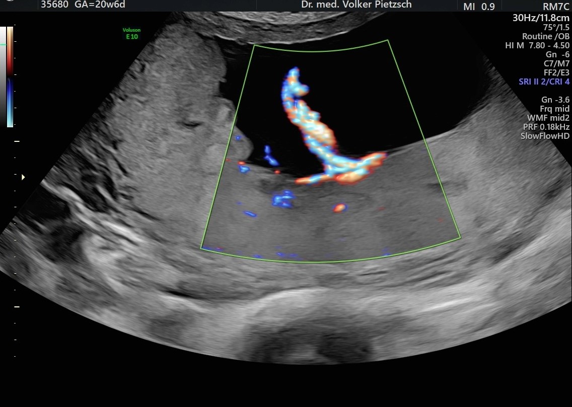
Die Feindiagnostik im 2.Schwangerschaftsdrittel beinhaltet eine komplette Beurteilung des Kindes von Kopf bis Fuß, sie ist eine umfangreiche und differenzierte Diagnostik, bei der das fetale Organsystem im Mittelpunkt des Interesses steht.
Die Feindiagnostik unterscheidet sich von der Routineuntersuchung in der 20. – 22. SSW, dem sogenannten erweiterten Basis Screening, das in der Regel eine Biometrie des Foeten und einen groben Blick auf wenige Organe des Ungeborenen beinhaltet.
Die Zielsetzung der Feindiagnostik in der 20. SSW ist es, Fehlbildungen, Erkrankungen des Foeten oder Versorgungsstörungen auszuschließen, um die Betreuung von Mutter und Kind in der Schwangerschaft oder nach der Entbindung optimieren zu können.
Die Feindiagnostik unterscheidet sich von der Routineuntersuchung in der 20. – 22. SSW, dem sogenannten erweiterten Basis Screening, das in der Regel eine Biometrie des Foeten und einen groben Blick auf wenige Organe des Ungeborenen beinhaltet.
Die Zielsetzung der Feindiagnostik in der 20. SSW ist es, Fehlbildungen, Erkrankungen des Foeten oder Versorgungsstörungen auszuschließen, um die Betreuung von Mutter und Kind in der Schwangerschaft oder nach der Entbindung optimieren zu können.
Der Fokus liegt primär auf dem Organsystem des Foeten, in diesem Bereich finden sich die häufigsten Probleme, die nachgeburtlich betreut werden müssen. Diese Untersuchung ist auch eine sinnvolle Ergänzung zur frühen Feindiagnostik der 12./13. SSW, die Beurteilung genetischer Risiken stehen in der 20.SSW nicht im Mittelpunkt.
Beurteilt werden unter anderem:
: Die Entwicklung des Kindes
: Das Organsystem und das Erscheinungsbild des Kindes
: Die Plazenta mit der Nabelschnur und der Fruchtwassermenge
Beurteilt werden unter anderem:
: Die Entwicklung des Kindes
: Das Organsystem und das Erscheinungsbild des Kindes
: Die Plazenta mit der Nabelschnur und der Fruchtwassermenge



